
What can Heart MRI do/Reasons for a Heart MRI?
There are many different reasons why your doctor may ask you to get a Heart MRI.
Childhood Heart Structure Problems (Congenital Heart Disease)
Description: Congenital heart diseases are heart problems that children are born with. These diseases range from simple to complex and many require surgery or other procedures.
Why MRI: Heart MRI is used to capture images in all types of congenital heart disease and at all ages. It can be used to help determine if and what type of surgery might be needed. It can also be used after surgery for routine follow up and check if there are any complications.
Heart MRI captures images of the heart and blood vessels to help see exactly the location and size of the structures. Sometimes 3D models are made to help see everything. Heart MRI can also measure flow in blood vessels and measure how well the heart muscle is pumping.
Images: ASD, 3D aorta, Flow in single ventricle



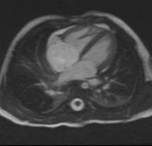
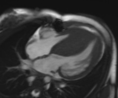
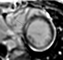
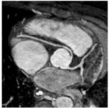
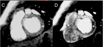
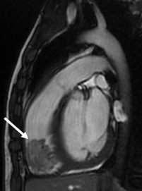
Heart Muscle Problems (Cardiomyopathies and Myocarditis)
Description: There are many types of heart muscle problems that can affect children. Cardiomyopathies are due to genetic, or inherited, conditions that can cause the heart chambers to become enlarged, the heart muscle to thicken, or other changes with the muscle. Myocarditis can cause damage to the heart muscle after an infection.
Why MRI: Heart MRI is used to capture pictures of the heart chambers and muscle to help figure out the type of heart muscle problem that a child has or if there are changes over time. It is also used to measure how well the heart is pumping. Sometimes Heart MRI will be used to look for any scar or damaged areas.
Images: DCM, HCM, LGE, T1/T2 map





Blood Vessel Problems (Aortopathy and Connective Tissue Disease)
Description: There are many types of disorders that children are born with that can cause the aorta (the main vessel supplying blood to the body) to change and become larger with time.
Why MRI: Heart MRI is used to obtain reliable measurements of the aorta and can help decide how often a child needs to be seen or if surgery is required.
Images: Aorta 2D dilated, 3D reconstruction


Coronary Problems
Description: The coronary arteries provide blood supply to the heart. Children can have coronary problems that are different from adults. Children can be born with the coronary arteries in the wrong location, called an anomalous coronary. Children can also have Kawasaki Disease which occurs with a prolonged fever and sometimes causes the coronary arteries to become abnormally large or form aneurysms.
Why MRI: Heart MRI is used to see if the coronary arteries are in the correct location and if there may be a risk of blocking flow. Heart MRI can also look for any abnormal enlargement. Sometimes a medication can be given through an IV to perform a stress test to see if there are problems with blood flow in the coronary arteries when the heart is working harder.
Images: Anomalous left or right coronary, Kawasaki, 3D coronaries


Stress Testing
Description: A stress test is done to check the blood supply to the heart at rest and under stress. This is usually done for coronary problems either before or after surgery. During a stress test, a medication is given through an IV to increase the heart rate.
Why MRI: The increased heart rate from the IV medication is like exercise. Heart MRI can detect normal and abnormal flows in the blood supply to the heart during a stress test. This can help your doctor decide if treatments such as surgery may be needed.
Images: Stress imaging

Cancer-related Heart Disease
Description: There are many types of cancers that can affect the heart, causing tumors or blood clots in the heart muscle and heart chambers. Cancer treatment (chemotherapy and radiation) can also affect heart function.
Why MRI: Heart MRI can be used to figure out the type of mass or tumor inside the heart to help your doctor decide what treatment or other testing may be needed. Heart MRI can also check the function of the heart during cancer treatment.
Images: Heart function, mass


Iron Overload (Hemochromatosis)
Description: Iron can build up in the body, including in the heart. This can be due to a genetic condition called hereditary hemochromatosis or can occur when frequent blood transfusions are needed. The iron overload can damage the heart, causing the chambers to enlarge or affect the heart function.
Why MRI: Heart MRI can look for the extra iron in the heart, measure the sizes of the heart chambers, and measure how well the heart is pumping.
